Alex Honnold has his own verb. “To honnold”—usually written as “honnolding”—is to stand in some high, precarious place with your back to the wall, looking straight into the abyss. To face fear, literally.
The verb was inspired by photographs of Honnold in precisely that position on Thank God Ledge, located 1,800 feet off the deck in Yosemite National Park. Honnold side-shuffled across this narrow sill of stone, heels to the wall, toes touching the void, when, in 2008, he became the first rock climber ever to scale the sheer granite face of Half Dome alone and without a rope. Had he lost his balance, he would have fallen for 10 long seconds to his death on the ground far below. One. Two. Three. Four. Five. Six. Seven. Eight. Nine. Ten.

Honnold is history’s greatest ever climber in the free solo style, meaning he ascends without a rope or protective equipment of any kind. Above about 50 feet, any fall would likely be lethal, which means that, on epic days of soloing, he might spend 12 or more hours in the Death Zone. On the hardest parts of some climbing routes, his fingers will have no more contact with the rock than most people have with the touchscreens of their phones, while his toes press down on edges as thin as sticks of gum. Just watching a video of Honnold climbing will trigger some degree of vertigo, heart palpitations, or nausea in most people, and that’s if they can watch them at all. Even Honnold has said that his palms sweat when he watches himself on film.
All of this has made Honnold the most famous climber in the world. He has appeared on the cover of National Geographic, on 60 Minutes, in commercials for Citibank and BMW, and in a trove of viral videos. He might insist that he feels fear (he describes standing on Thank God Ledge as “surprisingly scary”), but he has become a paramount symbol of fearlessness.
He also inspires no shortage of peanut-gallery commentary that something is wrong with his wiring. In 2014, he gave a presentation at Explorers Hall, at the National Geographic Society headquarters in Washington, D.C. The audience was there to hear from climbing photographer Jimmy Chin and veteran explorer Mark Synnott, but above all they had gathered to gasp at tales about Honnold.
Synnott got the biggest response from a story set in Oman, where the team had traveled by sailboat to visit the remote mountains of the Musandam Peninsula, which reaches like a skeletal hand into the mouth of the Persian Gulf. Coming upon an isolated village, they went ashore to mix with the locals. “At a certain point,” Synnott said, “these guys start yelling and they’re pointing up at the cliff. And we’re like, ‘What’s going on?’ And of course I’m thinking, ‘Well, I’m pretty sure I know.’ ”
Up came the photograph for the gasp from the crowd. There was Honnold, the same casual dude who was sitting on stage in a grey hoodie and khakis, now looking like a toy as he scaled a huge, bone-colored wall behind the town. (“The rock quality wasn’t the best,” Honnold said later.) He was alone and without a rope. Synnott summed up the villagers’ reaction: “Basically, they think Alex is a witch.”
When the Explorers Hall presentation concluded, the adventurers sat down to autograph posters. Three lines formed. In one of them, a neurobiologist waited to share a few words with Synnott about the part of the brain that triggers fear. The concerned scientist leaned in close, shot a glance toward Honnold, and said, “That kid’s amygdala isn’t firing.”

Once upon a time, Honnold tells me, he would have been afraid—his word, not mine—to have psychologists and scientists looking at his brain, probing his behavior, surveying his personality. “I’ve always preferred not to look inside the sausage,” he says. “Like, if it works, it works. Why ask questions about it? But now I feel like I’ve sort of stepped past that.”
And so, on this morning in March, 2016, he is laid out, sausage-roll style, inside a large, white tube at the Medical University of South Carolina, in Charleston. The tube is a functional magnetic resonance imaging (fMRI) brain scanner, essentially a huge magnet, which detects activity in the brain’s different regions by tracing blood flows.
Months earlier, I had approached Honnold about taking a look at his much admired, much maligned brain. “I feel totally normal, whatever that means,” he said. “It’d be interesting to see what the science says.”
“Why does he do this?”
The cognitive neuroscientist who volunteered to carry out the scan is Jane Joseph, who in 2005 was one of the first people to perform fMRIs on high sensation seekers—people who are drawn to intense experiences and are willing to take risks to have them. Psychologists have studied sensation seeking for decades because it often leads to out-of-control behaviors such as drug and alcohol addiction, unsafe sex, and problem gambling. In Honnold, Joseph saw the possibility of a more remarkable typology: the super sensation seeker, who pursues experiences at the outer limits of danger, yet is able to tightly regulate the mind and body’s responses to them. She is also simply in awe of what Honnold can do. She had tried to watch videos of him climbing ropeless, but being a low sensation seeker herself, found them overwhelming.
“I’m excited to see what his brain looks like,” she says, sitting in the control room behind leaded glass as the scan begins. “Then we’ll just check what his amygdala is doing, to see: Does he really have no fear?”
Often referred to as the brain’s fear center, the amygdala is more precisely the center of a threat response and interpretation system. It receives information on a straight pathway from our senses, which allows us to, for example, step back from an unexpected precipice without a moment’s conscious thought, and triggers a roster of other bodily responses familiar to almost everyone: racing heartbeat, sweaty palms, tunnel vision, loss of appetite. Meanwhile, the amygdala sends information up the line for higher processing in the cortical structures of the brain, where it may be translated into the conscious emotion we call fear.
An initial anatomical scan of Honnold’s brain appears on MRI technician James Purl’s computer. “Can you go down to his amygdala? We have to know,” says Joseph. Medical literature includes cases of people with rare congenital conditions, such as Urbach-Wiethe disease, which damage and degrade the amygdala. While these people generally don’t experience fear, they also tend to show other bizarre symptoms, such as a total lack of concern for personal space. One individual was comfortable standing nose-to-nose with others while making direct eye contact.
Purl scrolls down, down, through the Rorschach topography of Honnold’s brain, until, with the suddenness of a photo bomb, a pair of almond-shaped nodes materialize out of the morass. “He has one!” says Joseph, and Purl laughs. Whatever else explains how Honnold can climb ropeless into the Death Zone, it isn’t because there’s an empty space where his amygdala should be. At a glance, Joseph says, the apparatus seems perfectly healthy.
Inside the tube, Honnold is looking at a series of about 200 images that flick past at the speed of channel surfing. The photographs are meant to disturb or excite. “At least in non-Alex people, these would evoke a strong response in the amygdala,” says Joseph. “I can’t bear to look at some of them, to be honest.” The selection includes corpses with their facial features bloodily reorganized; a toilet choked with feces; a woman shaving herself, Brazilian style; and two invigorating mountain-climbing scenes.
“Maybe his amygdala is not firing—he’s having no internal reactions to these stimuli,” says Joseph. “But it could be the case that he has such a well-honed regulatory system that he can say, ‘OK, I’m feeling all this stuff, my amygdala is going off,’ but his frontal cortex is just so powerful that it can calm him down.”

There is also a more existential question. “Why does he do this?” she says. “He knows it’s life-threatening—I’m sure people tell him every day. So there may be some kind of really strong reward, like the thrill of it is very rewarding.”
To find out, Honnold is now running through a second experiment, the “reward task,” in the scanner. He can win or lose small amounts of money (the most he can win is $22) depending on how quickly he clicks a button when signaled. “It’s a task that we know activates the reward circuitry very strongly in the rest of us,” Joseph says.
In this case, she’s looking most closely at another brain apparatus, the nucleus accumbens, located not far from the amygdala (which is also at play in the reward circuitry) near the top of the brainstem. It is one of the principal processors of dopamine, a neurotransmitter that arouses desire and pleasure. High sensation seekers, Joseph explains, may require more stimulation than other people to get a dopamine hit.
After about half an hour, Honnold emerges from the scanner looking sleepily doe-eyed. Raised in Sacramento, California, he has a refreshingly frank manner of speaking, and an oddly contradictory demeanor that might be described as intensely laid back—his nickname is No Big Deal, which is his assessment of almost every experience he undergoes. Like most expert climbers, he is leanly muscled, more like a fitness buff than a body builder. The exceptions are his fingers, which permanently look as though they’ve just been slammed in a car door, and his forearms, which bring to mind Popeye.
“Looking at all those images—does that count as being under stress?” he asks Joseph.
“Those images that you saw are used pretty widely in the field for inducing fairly strong arousal responses,” Joseph replies.
“Because, I can’t say for sure, but I was like, whatever,” he says. The photographs, even the “gruesome burning children and stuff” struck him as dated and jaded. “It’s like looking through a curio museum.”
A month later, having studied Honnold’s scans, Joseph is on a patchy conference call to Shanghai, China, where Honnold is en route to climb, with ropes, the underbelly of the stalactite-spangled Great Arch of Getu. Unusually for Honnold, his voice betrays tiredness and even stress. A few days earlier, near Index, Washington, he had climbed an easy route to set up ropes for his girlfriend’s parents. As his girlfriend, Sanni McCandless, lowered him back to the ground, he suddenly dropped the final 10 feet to land in a jumble on the rocks below—the rope wasn’t long enough to get him to the ground, and the end had slipped through McCandless’ hands. “It was kind of just a botch,” he says. He suffered compression fractures in two vertebrae. It was the most serious accident of his rock climbing life, and it came while he was tied into a rope.
“What do all the brain pictures mean?” Honnold asks, looking at the brightly colored fMRI images that Joseph has sent him. “Is my brain intact?”
“Your brain’s intact,” says Joseph. “And it’s quite interesting.”
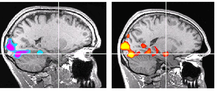
Even to the untrained eye, the reason for her interest is clear. Joseph had used a control subject—a high-sensation-seeking male rock climber of similar age to Honnold—for comparison. Like Honnold, the control subject had described the scanner tasks as utterly unstimulating. Yet in the fMRI images of the two men’s responses to the high-arousal photographs, with brain activity indicated in electric purple, the control subject’s amygdala might as well be a neon sign. Honnold’s is gray. He shows zero activation.
Flip to the scans for the monetary reward task: Once again, the control subject’s amygdala and several other brain structures “look like a Christmas tree lit up,” Joseph says. In Honnold’s brain, the only activity is in the regions that process visual input, confirming only that he had been awake and looking at the screen. The rest of his brain is in lifeless black and white.
“There’s just not much going on in my brain,” Honnold muses. “It just doesn’t do anything.”
To see if she was somehow missing something, Joseph had tried dialing down the statistical threshold. She finally found a single voxel—the smallest volume of brain matter sampled by the scanner—that had lit up in the amygdala. By that point, though, real data was indistinguishable from error. “Nowhere, at a decent threshold, was there amygdala activation,” she says.
Could the same be happening as Honnold climbs ropeless into situations that would cause almost any other person to melt down in terror? Yes, says Joseph—in fact, that’s exactly what she thinks is going on. Where there is no activation, she says, there probably is no threat response. Honnold really does have an extraordinary brain, and he really could be feeling no fear up there. None at all. None whatsoever.

Honnold has always rejected the idea that he is fearless. To the wider world, he is known as a figure of preternatural calm as he hangs by his fingertips on the fine line between life and death. No one was watching, though, more than a decade ago, when he was 19 years old, standing at the base of his first major ropeless rock climb: Corrugation Corner, near Lake Tahoe, California. On the arcane grade scale climbers use to describe a route’s difficulty, Corrugation Corner is a 5.7—more than 15 points easier than Honnold’s maximum skill level at the time. Still, the line is 300 feet high. “You’d fall and die,” Honnold says.
In order to free solo the route, he first had to have the desire to do so. “I think that the unique thing isn’t my ability to solo, I think the unique thing is really wanting to,” Honnold says. His heroes were ropeless climbers like Peter Croft and John Bachar, who had set new standards in the style in the 1980s and ’90s. (Honnold was also intensely shy, which made it difficult for him to find partners for roped climbing.) He saw their photographs in climbing magazines and knew—he just knew—that he wanted to put himself in those same kinds of positions: wildly exposed, potentially deadly, totally under control.
He is, in other words, the classic high sensation seeker. On the same day he climbed into the MRI tube, Honnold also answered several surveys used by psychologists to measure the degree of a person’s sensation seeking. He was asked to agree or disagree with statements such as, I would enjoy the sensation of skiing very fast down a high mountain slope (“I frickin’ love skiing fast downhill,” he says); I would enjoy parachute jumping (“I learned how to skydive”); and I like to explore a strange city or section of town myself, even if it means getting lost (“That’s everyday life for me”). He once filled out a similar questionnaire at an outdoors industry show, in which the question about whether he would ever consider rock climbing was illustrated by a photo of: Alex Honnold.
Nowhere in the fear center of Honnold’s brain could the neuroscientist spot activity.
Yet Honnold ended up scared, really scared, on Corrugation Corner. He clung to the big, friendly holds. “I overgripped the shit out of it,” he says. Obviously, though, he didn’t give up after that first experience. Instead, Honnold donned what he called “mental armor” and crossed the threshold of fear again and again. “For every hard pitch I’ve soloed I’ve probably soloed a hundred easy pitches,” he says.
One by one, acts that had seemed outrageous to him began to seem not so crazy: soloing moves in which he hangs only by his fingers, for example, with his feet swinging in the open air, or, as he did in June on a notorious route called The Complete Scream, climbing ropeless up a pitch that he had never ascended before. In 12 years of free solos, Honnold has broken holds, had his feet slip, gotten off-route into unknown terrain, been surprised by animals like birds and ants, or just suffered “that fraying at the edges, you know, where you’ve just been up in the void too long.” But because he managed to deal with these problems, he gradually dampened his anxieties about them.
To Marie Monfils, who heads the Monfils Fear Memory Lab at the University of Texas at Austin, Honnold’s process sounds like an almost textbook, if obviously extreme, approach to dealing with fear. Until recently, Monfils says, most psychologists believed that memories—including fear memories—became “consolidated,” or unchangeable, soon after they were acquired. In just the past 16 years, that understanding has shifted. Research has shown that every time we recall a memory, it undergoes reconsolidation, meaning we are able to add new information or a different interpretation to our remembrance, even turning fearful memories into fearless ones.
Honnold keeps a detailed climbing journal, in which he revisits his climbs and makes note of what he can do better. For his most challenging solos, he also puts a lot of time into preparation: rehearsing the moves and, later, picturing each movement in perfect execution. To get ready for one 1,200-foot-high ascent at the cutting edge of free soloing, he even visualized everything that could possibly go wrong—including “losing it,” falling off, and bleeding out on the rock below—to come to terms with those possibilities before he left the ground. Honnold completed that climb, known as Moonlight Buttress, in Utah’s Zion National Park, about 13 years after he started climbing, and four years after he started soloing.
Revisiting memories to cast them in a new light, Monfils says, is almost certainly something that we do all the time without being aware of it. But doing so actively, as Honnold did, is better—“a beautiful example of reconsolidation.”
Visualization—which we might think of as pre-consolidation, whereby a person pictures a future event rather than a past one—functions in much the same way. “To review move after move, you’d expect that he did consolidate his motor memory and as a result probably had an increased sense of competence,” Monfils says. Feelings of competence, in turn, have been shown to reduce anxiety, which helps to explain why, for example, people who are fearful of public speaking (as Honnold used to be, by the way) feel less anxious about it as they do it more often and develop their skills.
“It’s better over time if you can put yourself in a situation where you experience some fear, but you overcome it, and you do it again and again and again,” Monfils says. “It’s hard, and it’s a big investment, but it becomes easier.”
The amygdala, again, plays a key role. Monfils offers an example from her own life. She has a genuine phobia of snakes. One day, canoeing with friends at the edge of a lake, she spotted a water moccasin, which is a venomous species, hanging on a branch. Monfils started screaming, paddled frantically to the middle of the lake, and avoided outdoor adventures for a year afterward. Then, on a hike, she ran into another snake and freaked out again. This time, she applied her expertise to the problem. She made efforts to lie down and recall the episode in calm and logical terms. She reconsolidated her scary memory into something more useful. Just one week later, she suppressed her fear, mustered her courage, and got out on the trails again.
“The amygdala probably activates a split second before you explicitly remember, ‘ah, this is where I saw the snake,’ ” she says. “So you feel your hands being sweaty and you feel this flood of emotions. And it requires this explicit engagement on your part to involve your prefrontal cortex and say, ‘the snake is not here now, in fact the snake didn’t do anything when it was there, it just happened to be there.’ And then progressively what this does is that your prefrontal cortex quenches this amygdala-on-fire. It puts the information in its appropriate context to say, ‘there’s no need to be afraid here, you can just walk on the path.’ ”

Without going back in time to scan Honnold’s brain before he started down his own path as a free soloist, there is no way to know how much nature and how much nurture went into his fearlessness. But a few possibilities seem safe to rule out.
Joseph LeDoux, a neuroscientist at New York University who has been studying the brain’s response to threats since the 1980s, tells me he has never heard of any person being born with a normal amygdala—as Honnold’s appears to be—that shows no sign of activation. Addressing a possibility raised by Honnold that a person could burn out his amygdala from overstimulation, LeDoux says, “I don’t think that could happen.” Still, when I describe Honnold’s total absence of amygdala activation during the scan tasks, LeDoux’s response is, “That sounds pretty impressive.”
There is genetic variability between individuals in all parts of the brain, LeDoux says, so it’s a fair bet that Honnold’s threat-response circuitry started out on the cool end of the spectrum—which would explain why his younger self saw a powerful appeal, rather than lethal danger, in the photographs of his ropeless climbing heroes. At least as important as the brain that Honnold was born with, however, is the one that he has wired for himself through thousands of hours of risk-taking. “His brain is probably predisposed to be less reactive to threats that other people would be naturally responsive to, simply because of the choices he’s made,” LeDoux says. “On top of that, these self-imposed strategies that he’s using make that even better, or stronger.”
Genetics has a clearer role in the personality traits that have helped motivate Honnold’s ropeless climbing. Sensation seeking is thought to be partly heritable, and can be passed down from parents to their children. The trait is associated with lower anxiety and a blunted response to potentially dangerous situations. One result can be a tendency to underestimate risks, which a recent study linked to an imbalance caused by low amygdala reactivity and less effective inhibition of sensation seeking by the prefrontal cortex.
Has Honnold’s new awareness of his atypical brain affected his sense of self?
Joseph’s own research doesn’t look at individual cases (she considers her scan of Honnold an “observation”), but she has noted “greatly diminished” amygdala responsiveness among some cohorts of high sensation seekers—and Honnold is a very high sensation seeker. Compared against the data pool collected by Joseph’s lab, Honnold is twice as sensation-seeking as the average person, and fully 20 percent higher than the average high sensation seeker. The most likely explanation for his flatline amygdala activation in the scanner, Joseph says, is that the tasks she set for him simply were not strong enough tea.
Honnold also scores as exceedingly conscientious, associated with the ability to concentrate, remain focused on a task, and see things through. He also surveyed high in premeditation, his typical modus operandi, and very low in neuroticism, making him unlikely to ruminate over unlikely outcomes or risks that are impossible to manage. “If you don’t have any fear to begin with,” Honnold says, “there’s a lot less to control.”
“He has the traits that enable him to be incredibly focused, and incredibly patient, but at the same time totally sensation seeking,” Joseph says. A single example is a long way from proving a theory, but a guy who free solos into the Death Zone, and yet goes by the nickname No Big Deal, is compelling evidence of Joseph’s super-sensation-seeker hypothesis when it comes to Honnold.
“The idea of the super sensation seeker—who is defined by having this really strong motivation to pursue these kinds of positive and thrilling experiences, but at the same time having the control and the regulation—is important. I think it could teach us a lot about potentially treating substance-abuse disorder, anxiety disorders, and coming up with strategies that people can use,” she says. “Potentially just talking with Alex, you could envision a new kind of intervention.”
For example, many high sensation seekers’ problematic behaviors involve intense experiences that can be pursued impulsively and without obvious immediate consequences, such as binge drinking or drug use. (Honnold has always avoided alcohol and drugs, and doesn’t drink coffee.) Joseph wonders if that energy could be redirected into high-arousal activities—such as rock climbing, but with protective gear—that by their nature involve constraint, premeditation, and specific goals, reinforcing different life patterns.
At the very least, it might be possible for any one of us to work a little bit of Honnold’s magic. You may not have the traits of a super sensation seeker, or be able to quench your amygdala on command, but with conscious effort and gradual, repeated exposure to what you fear, any one of us might muster courage that we didn’t know we had.
Honnold’s personal challenge is different, with higher stakes. As remarkably well wired as he is—or has made himself to be—there are risk factors in the mix.
When I ask Honnold to describe the ideal free-solo psychological experience, he says, “You get into positions where you’re like, this is so outrageous, you know? Like, this is so amazing. That’s the whole point, really—to be up in some position that makes you feel like a total hero.”
Yet he also tells me that easier, day-to-day soloing (the kind that most rock climbers would still consider to be an extreme activity) has lost some of its novelty, and even life-list solos sometimes leave him underwhelmed. “I didn’t find it as fulfilling as I’d hoped,” Honnold has written about an all-day solo link-up of three difficult routes. “People might expect these kinds of climbing achievements to generate euphoria, but in fact I seem to experience the opposite.”
The total lack of activation throughout most of Honnold’s brain during the reward task is a good fit with the hypothesis that sensation seekers need powerful stimuli in order to ramp up the dopamine circuitry that makes an experience feel rewarding, Joseph says. One result can be the endless pursuit of strong sensations, which in the case of substance abuse and gambling, contributes to addiction and dependency.
Honnold could, in that sense, be “addicted to climbing,” Joseph says, and the hunger for sensation could push him ever closer to his limits as a free soloist. At the same time, a defining quality of his ropeless climbing has been the conscientiousness and premeditation that he brings to it. The greatest risk for Honnold, Joseph says, may lie in the tension between those opposing compulsions.
Joseph had expected Honnold to survey low in impulsivity traits, such as urgency and disinhibition, associated with rash decisions and actions taken without much thought to the consequences, particularly when a person is feeling down. In fact, he scored on the high end. This helps explain what might be called, using Honnold’s own terminology, his “fuck it” ascents, in which composure gives way to depression and angst, and planning to, well, impulsivity.
Here’s one: While “emotionally unhinged,” as he put it, by a faltering relationship in 2010, he soloed a 1,000-foot wall in the Nevada desert that he had climbed with a rope only once before, several years earlier. Honnold considers that climb an example of how he has learned to harness both positive and negative moods to achieve his goals. Obviously, it worked out fine—he is still around to tell the tale. But when I ask Joseph if she has any warning to offer Honnold based on the scan and survey results, she replies, “Don’t let the impulsivity win out over the conscientiousness.”

The next time I catch up with Honnold, he’s climbing with his girlfriend in Europe. I want to know if his new awareness of his atypical brain has affected his sense of self. No, he says, the discovery that his amygdala sleeps in his brain like an old dog in an Irish pub has not changed the way he climbs, nor shaken his sense of identity. That isn’t to say that it hasn’t given him pause for reflection.
On a recent rest day from climbing, he says, he and McCandless decided to try a “via ferrata” near Lauterbrunnen, Switzerland. A via ferrata is a kind of climbing route with artificial holds: rungs, pegs, ladders, and bridges are attached to the rock, while the climber is protected by a harness connected to a fixed cable. Honnold, of course, didn’t bother with the harness.
“But then at a certain point, I was like, actually, this is kind of hardcore. Like I actually needed to pay attention,” he says. The via ferrata, it turned out, climbed across a sheer rock wall on a series of rebar rungs set 3,000 feet off the valley floor. They were high in the mountains, the weather threatened, McCandless was near tears, and after recent rains, water was streaking down the limestone face and dripping on the hand holds, the foot holds, and their heads.
“I definitely thought about how I process fear,” Honnold says. What he realized was that, in this case at least, he didn’t. He had been in similar situations so many times that it had become normal. There was nothing to process; there was only who he had become. “This is not scary,” he said to himself, “because this is what I do.”
J.B. MacKinnon writes on the environment, outdoors, consumerism, and other topics. His most recent book is The Once and Future World: Nature As It Was, As It Is, As It Could Be.





